Open Access, Case Report, Volume 5, Issue 5

A case report of Von Meyenburg Complex (VMCs): Incidental detection in adult dyspnea investigation

Siriporn Kowiwattanakarn, MD*

Surgery Unit, Walailak University Hospital, Walailak University, Nakhon Si Thammarat, Thailand.

Siriporn Kowiwattanakarn, MD*

Surgery Unit, Walailak University Hospital, Walailak University, Nakhon Si Thammarat, Thailand.
Email: b-bee_jung@hotmail.com, siriporn.ko@wu.ac.th

Received : Aug 26, 2025, Accepted : Sep 19, 2025
Published : Sep 26, 2025, Archived : www.jclinmedcasereports.com

Abstract

Multiple biliary hamartomas, known as ‘Von Meyenburg Complexes’ (VMCs) are rare mostly benign bile duct malformation which are found incidentally. Most patients have no symptom, non-specific clinical presentation and absent of guidelines management are challenged. Tissue biopsy is performed to differentiate potential malignancy in suspected case. This study presented a case of a patient who had fatigue and dyspnea post covid-19 infection which incidentally found multiple liver cystic lesions, the observation and imaging follow up showed stable lesion without malignant feature.

Keywords: Biliary hamartoma; Von Meyenburg Complexes; Liver polycystic disease; Case report.

Copy right Statement: Content published in the journal follows Creative Commons Attribution License (http://creativecommons.org/licenses/by/4.0). © Kowiwattanakarn S (2025).

Journal: The Journal of Clinical and Medical Images, Case Reports (JCMICR) is a fantastic resource for keeping up with the latest clinical advancements and for publishing case reports and clinical images related to a variety of medical illnesses.

Citation: Kowiwattanakarn S. A case report of Von Meyenburg Complex (VMCs): Incidental detection in adult dyspnea investigation. J Clin Med Images Case Rep. 2025; 5(5): 1810.
Introduction

Multiple biliary hamartomas, known as ‘Von Meyenburg Complexes’ (VMCs) are rare benign bile duct malformations first described by von MeyenBurg in 1918. These are cause by the failure of embryonic remnants of bile duct involution. The prevalence estimated ranges from 0.6%-5.6% from autopsy and around 1% on imaging [1,2]. The VMCs has been reported 0.9% in children [3]. Recently they are increasing report in adults over the age of 35 [1,4]. These variety of cystic lesions of the liver are generally asymptomatic and usually incidental diagnosis on autopsy, intraoperation or imaging work up for other conditions [4,5]. Multiple liver cystic lesions must be differentiated from other lesions such as mimicking liver metastasis [6].

This article is aimed at reporting a case of VMCs present with dyspnea and incidental finding from chest Computed Tomography (CT), diagnosis, follow up and conservative treatment outcome. This case report was approved by the University Research ethics committee (WUEC-25-205-01).

Case Presentation

A 49-year-old Thai male patient presented at OPD of School of Medicine, Walailak University Hospital, Nakorn Si Thammarat, Thailand, with fatigue and dyspnea post Covid-19 infection for 2 months. The patient denied previous medical condition or underlying disease. His vital signs were stable. On physical examination found no abnormality was detected. Initial blood work up for Complete Blood Count (CBC), renal function, liver function and thyroid function test were unremarkable (Table 1).

Treatment and follow up

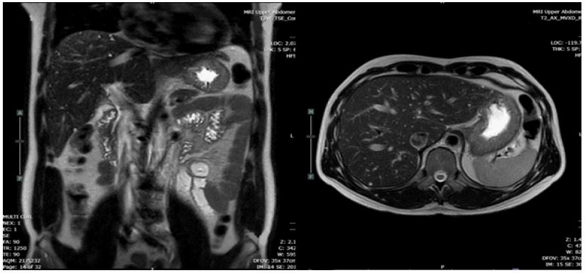
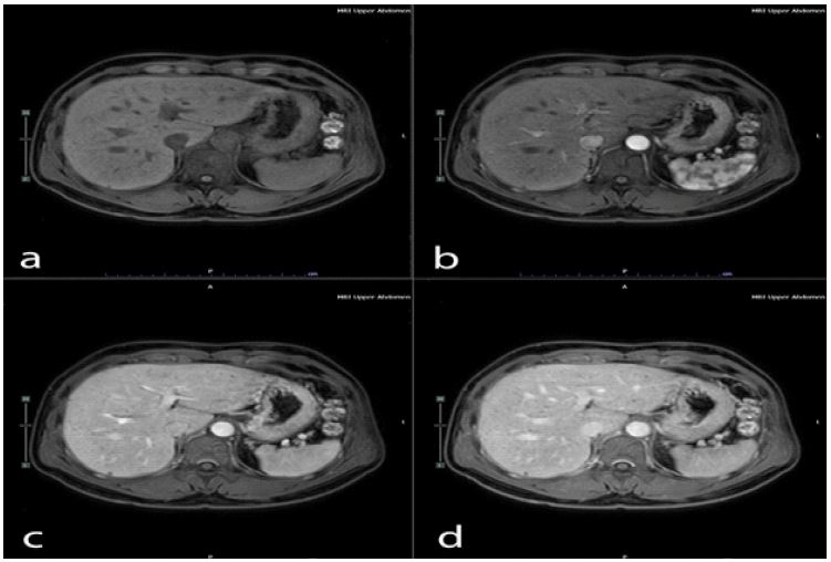
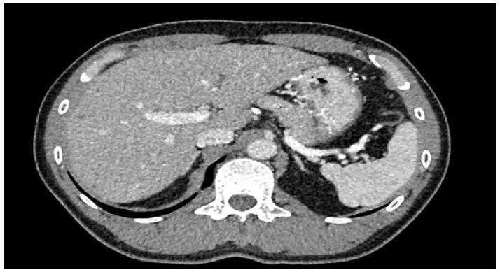
This patient was treated by medication; bronchodilator inhalator for symptomatic relief, molnupiravia (200 mg) 1 tab every 12 hours for 5 days. He was still complaining of fatigue and dyspnea. After failure of medication treatment, the electrocardiography and echocardiography were requested for re-evaluation. The result of that investigation showed normal. The CT chest was performed and reported innumerable Too Small to Characterize (TSTC) lesion scattering both hepatic lobes (Figure 1). The further Magnetic Resonance Imaging (MRI) revealed innumerable cystic lesion in both lobes of liver, (Figure 2). TW showed a signal lower than the liver parenchyma and T2W showed cystic hyperintensity like a ‘starry sky’ (Figure 3).

  Images are Not Display Check it
Figure 1: The CT was reported innumerable Too Small to Characterize (TSTC) lesion scattering both hepatic lobes.

  Images are Not Display Check it
Figure 2: Non-enhancement liver cystic lesion; (A) Pre-gadolinium, (B) Arterial phase, (C) Venous phase, (D) Delay post-gadolinium.

  Images are Not Display Check it
Figure 3: The MRI revealed innumerable cystic lesion in both lobes of liver like a ‘starry sky’.

This patient was informed imaging result and advice observed after discussion prognosis based on current clinical evidence. Further clinical and imaging follow up 12-month to date, lesion showed stable without malignant feature on ultrasonography.

Table 1: Complete Blood Count (CBC), renal function, liver function and thyroid function test.
CBC Result value Reference
RBC count 4.48 106 cell/mm3 3.75-6.54
Hemoglobin 13.7 g/dL 11.5-17.0
Hematocrit 40.4 % 37.0-54.0
MCV 90.2 fl 80.0-100.0
MCH 30.6 pg 27.0-32.0
MCHC 33.9 g/dL 32.0-36.0
RDW 13.2 % 11.0-16.0
WBC count 6490 cell/mm3 4000-10000
Neutrophil 56 % 40-75
Lymphocyte 36 % 20-45
Monocyte 6 % 10-Feb
Eosinophil 1 % 0-6
Basophil 1 % 0-1
Platelet count 253000 cell/mm3 140000-400000
Thyroid functiontest Result value Reference
Free-T3 3.58 pg/mL 2.02-4.43
Free-T4 1.31 pg/mL 0.93-1.71
TSH 2.76 uIU/mL 0.27-4.20
Renal functiontest Result value Reference
Blood Urea Nitrogen(BUN) 12 mg/dL 8.4-20.6
Creatinine 0.92 mg/dL 0.73-1.18
eGFR 98 mL/min/1.73m2
Liver functiontest Result value Reference
Aspartate aminotransferase 25 U/L Nov-34
Alanine aminotransferase 21 U/L <45
Clinical discussion

Multiple biliary hamartomas or ‘Von Meyenburg Complexes’ (VMCs) are a variety of benign cystic lesion of liver that consist of focal collections of duct-like structures embedded in a fibrous stroma resulting from ductal plate malformation involving the small interlobular bile ducts [7].

VMCs usually do not cause symptoms and incidental finding with recent noninvasive imaging modalities. Most of biliary hamartoma are composed of small, 5-30 mm disorganized clusters of dilated cystic bile ducts that appear throughout the liver and generally do not communicate with biliary tree [8]. The CT scan of VMCs consists of multiple small, low attenuated areas that do not enhance on contrast injection. MRI of liver and MRCP show low signal intensity on T1-weighed and high signal intensity on T2-weighed images sequences give the liver a ‘starry sky’ appearance [9-11].

Confirmation of diagnosis VMCs may require liver biopsy. In this patient, asymptomatic bilateral multiple cystic lesions and characteristic imaging finding can help avoid unnecessary invasive interventions. Most of VMCs are benign and usually conservative treatment [12].

Periodic clinical monitoring and determination of CA 19-9 can apply in asymptomatic case, but the use of CA 19-9 and other blood analysis to diagnose malignant transformation should be discouraged because it has low specificity and persistent elevation can present without malignancy [13,14]. In case of alarm symptoms or elevation of tumor marker, perform MRCP with gadolinium [15]. For suspected malignant lesion, consider tissue biopsy to confirm diagnosis. In this case, bilateral multiple cystic lesions of liver, follow up was considered after physician, patient and family discussion about prognosis. Although incidental finding and do not have symptoms, this case should be follow-up, evidence of malignant potential of VMCs has been reported [16,17].

Conclusion

VMCs are rare benign multiple cystic lesions of liver in adult. Treatment usually conservative and follow up. The possibility of malignancy must be discussed and considered as differential diagnosis. Periodic clinical monitor or tissue biopsy to confirm diagnosis should be applied in selected patient.

Declarations

Acknowledgments: Thank to Sasima Srivisut M.D. Radiologist, Walailak university hospital for sharing MRI information in this research.

Funding: The author received no financial support for the research, authorship, and/or publication of this article.

Consent for publication: Written informed consent was obtained from the patient for his anonymized information to be published in this article.

Declaration of conflict of interest: The author declared no potential conflicts of interest with respect to the research, authorship, and/or publication of this article.

Disclosure: The author of no conflicts of interest to declare.

References
  1. Chung EB. Multiple bile-duct hamartomas. Cancer. 1970; 26: 287-96.
  2. Redston MS, Wanless IR. The hepatic von Meyenburg complex: prevalence and association with hepatic and renal cysts among 2843 autopsies. Mod Pathol. 1996; 9: 233-7.
  3. Yang XY, Zhang HB, Wu B, Li AJ, Fu XH. Surgery is the preferred treatment for bile duct hamartomas. Mol Clin Oncol. 2017; 7: 649-53.
  4. Lanser HC, Puckett Y. Biliary duct hamartoma. StatPearls. Treasure Island (FL): StatPearls Publishing; 2025.
  5. Sheikh AAE, Nguyen AP, Leyba K, Javed N, Shah S, et al. Biliary duct hamartomas: a systematic review. Cureus. 2022; 14: e25361.
  6. Monteiro de Barros J, Stell D, Bracey TS, Mavroeidis VK. Diffuse liver hamartomatosis (diffuse von Meyenburg complexes) mimicking hepatic metastases on a background of previous cancer. Ann R Coll Surg Engl. 2020; 102: e1-e4.
  7. Tohmé-Noun C, Cazals D, Noun R, Menassa L, Valla D, Vilgrain V. Multiple biliary hamartomas: magnetic resonance features with histopathologic correlation. Eur Radiol. 2008; 18: 493-9.
  8. Sinakos E, Papalavrentios L, Chourmouzi D, Dimopoulou D, Drevelegas A, Akriviadis E. The clinical presentation of von Meyenburg complexes. Hippokratia. 2011; 15: 170-3.
  9. Zheng RQ, Zhang B, Kudo M, Onda H, Inoue T. Imaging findings of biliary hamartomas. World J Gastroenterol. 2005; 11: 6354-9.
  10. Luo TY, Itai Y, Eguchi N, Kurosaki Y, Onaya H, et al. Von Meyenburg complexes of the liver: imaging findings. J Comput Assist Tomogr. 1998; 22: 372-8.
  11. Mortelé B, Mortelé K, Seynaeve P, Vandevelde D, Kunnen M, Ros PR. Hepatic bile duct hamartomas (von Meyenburg complexes): MR and MR cholangiography findings. J Comput Assist Tomogr. 2002; 26: 438-43.
  12. Guo Y, Jain D, Weinreb J. Von Meyenburg complex: current concepts and imaging misconceptions. J Comput Assist Tomogr. 2019; 43: 846-51.
  13. Morinaga T, Katsunori I, Yo-Ichi Y, Takanobu Y, Takayoshi K, et al. Multicystic biliary hamartoma with extremely elevated CA19-9: a case report. Scand J Gastroenterol. 2017; 52: 916-9.
  14. Priadko K, Niosi M, Vitale LM, De Sio C, Romano M, De Sio I. “Starry liver”—von Meyenburg complex clinical case presentation and differential diagnosis discussion: a case report. World J Hepatol. 2022; 14: 1520-7.
  15. Jáquez-Quintana JO, Reyes-Cabello EA, Bosques-Padilla FJ. Multiple biliary hamartomas, the von Meyenburg complexes. Ann Hepatol. 2017; 16: 812-3.
  16. Jain D, Ahrens W, Finkelstein S. Molecular evidence for the neoplastic potential of hepatic von Meyenburg complexes. Appl Immunohistochem Mol Morphol. 2010; 18: 166-71.
  17. Jain D, Sarode VR, Abdul-Karim FW, Homer R, Robert ME. Evidence for the neoplastic transformation of von Meyenburg complexes. Am J Surg Pathol. 2000; 24: 1131-9.
+